Is Your Tooth Enamel Damaged? Here’s How to Check

WhatsApp Channel Join Now
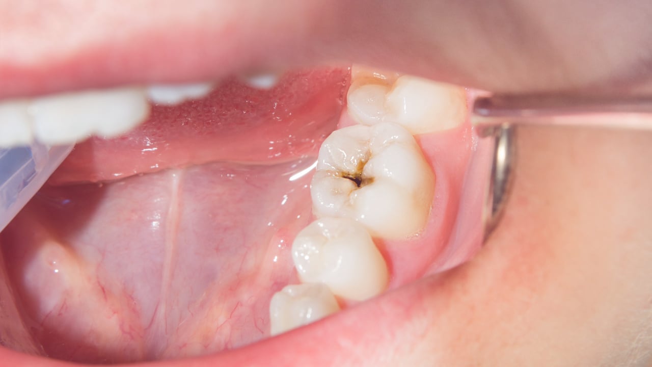
Top Causes of Tooth Decay: What You Need to Know to Protect Your Smile

So, you’ve been brushing, flossing, and staying away from sugar and other harmful substances, but your teeth still feel sensitive and maybe even more discolored than usual. What could be the cause? For starters, your tooth enamel might be a bit worse for wear than usual.

Once enamel starts breaking down, it’s not something that just bounces back overnight. Unlike skin or hair, enamel doesn’t regenerate. So, every tiny chip, rough patch, or thinning spot is essentially long-term damage stacking up.

Sometimes it’s subtle, showing up when you least expect it. You could be feeling that sensitivity when you drink something too cold or too hot. Or maybe your teeth feel a little rough when you brush or floss.

If any of that sounds familiar, it’s time to pay attention because the longer you ignore enamel wear, the more it can snowball and lead to bigger problems like cavities, discoloration, or worsened sensitivity that ruins your favorite foods.

So, how do you check if your enamel is actually damaged or if you’re just being

paranoid? There are a few easy and quick ways to get a sense of how your enamel’s doing before things get worse—but for a clear picture, nothing beats a professional checkup at the best dental clinic in Dubai.

Sensitivity Check

One of the first red flags of enamel wear is increased sensitivity. Not the occasional wince when you bite into ice cream, but a consistent, sharp, almost electric discomfort when you eat or drink something hot, cold, acidic, or sweet.

Next time you have a cold drink or spoonful of ice cream, pay attention to whether certain teeth react more sharply than others. If you’re wincing more than you should be, it could be a sign your enamel’s thinning out.

Your enamel acts as a shield. It insulates the inner, nerve-packed part of your tooth, or the dentin, from external triggers. Those nerves are closer to the surface, so when it thins out, it makes you feel a heightened sense of pain.

Look for Yellowing or Transparency

Enamel isn’t pure white. In fact, it’s semi-translucent. What gives your teeth that pearly brightness is the combination of enamel over the naturally yellowish dentin beneath it.

Your teeth will appear more yellow as more of the dentin starts showing through. They might even look slightly translucent around the edges, especially the front teeth. Enamel loss becomes apparent once you start noticing that dull, yellow tone or glassy, see-through edges.

To make sure your teeth are fine, hold a mirror up in natural light and check the biting edges of your front teeth. If they look more translucent than solid, your enamel might be damaged.

Rough or Uneven Texture

A healthy enamel should feel smooth and even. As such, if your enamel is breaking down, you’ll notice tiny pits, ridges, or rough patches when you run your tongue over your teeth.

This happens because acid from food, drinks, or acid reflux, as well as mechanical wear from grinding or overbrushing, gradually wears away the surface. Small surface irregularities can catch plaque and bacteria, which only makes decay happen at a much faster rate.

You should look out for signs such as uneven surfaces on your molars or canines, a gritty, sandpaper-like texture on the front teeth, or rough patches you’ve never noticed before. In cases where enamel damage also affects appearance, treatments like dental veneers in Dubai can help restore both function and a flawless look to your smile.

Even tiny cracks and chips matter. Your enamel’s quite tough, but once it starts thinning or getting weak, it can break pretty easily. And when that happens, you’re looking at a higher risk of cavities, tooth sensitivity, and even bigger cracks down the line.

Once you spot any of these signs, it’s a clear sign to step up your dental care game and see a professional. Ignoring enamel damage only invites bigger problems down the road, so it’s best to catch it early and keep your smile strong and healthy!

Similar Posts